Treatments - Dental fillings
| Examples of DIAGNOcam Cavity Detection |
|
|---|---|
|
|
The detection of carious lesions and cracks at an early stage is necessary in order to implement prophylactic, or minimally-invasive and pain-free treatment. In daily practice, the diagnosis of initial lesions is not always simple.
The new KaVo DIAGNOcam is the first camera system that uses the tooth's structure to verify caries diagnosis. To do this, the tooth is transilluminated utilising light of a specific wavelength (780 nm generated by a led laser) and used like a light conductor. A digital video camera records the image and displays it live on a computer screen. Carious lesions are displayed as dark shadows. With its DIFOTI technology (Digital Imaging Fiberoptic Transillumination), DIAGNOcam offers high diagnostic safety which is comparable or superior to X-ray diagnosis in many cases, in particular with regard to approximal and occlusal caries. Furthermore, it is possible to show certain kinds of secondary caries and cracks. The X-ray free device thereby allows early and very gentle caries detection.
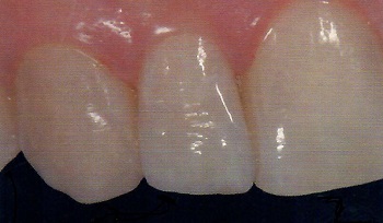
Before
After
Dental fillings are a common and widely recommended treatment and the demand in metal-free restorations has increased enormously in recent years in the dental community as for the general public. Depending on the extent of the tooth damage by decay, fracture or wear and in any case which requires a strictly conservative approach, composite resins fillings became a solution to build up or re-shape the tooth offering an excellent outcome. Beyond the choice of material itself, understanding and mastering the adhesive technique is also important.