|
Treatments - Implants
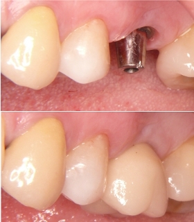
Dental implants offer an optimum solution for people who have lost teeth or who wear removable dentures. They are one of the most interesting and successful long-term dental treatments available if they are properly cared for. The implant, made of titanium, provide an artificial root which is placed in the jawbone in the area where the tooth root would normally be. When fully integrated to the bone, a post (or abutment) is screwed to the implant and a crown, bridge or denture is then placed over the abutment to replace the missing tooth or teeth.
The big advantage of a single tooth implant is that it can replace the tooth without interfering with teeth on either side unlike a bridge. If multiple teeth are missing, implants can hold multiple implant crowns or fixed bridges to avoid having removable dentures. We use swiss dental implants: Straumann, which is one of the best leading providers of dental implants in the world.