Treatments - Onlays

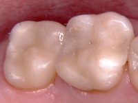
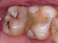
Before After
Onlays are an advanced solution in the cases where remains little tooth structure as a result of extensive coronal tooth destruction. In these situations, they are often a better alternative than composite fillings. From records the dentist has provided, onlays are created by a dental technician in a laboratory before being fitted and bonded to your teeth in the office. Since healthy areas of your teeth remain untouched, onlays allow us to leave more of your natural tooth structure intact than we would be able to do using traditional dental crowns. Another advantage to using onlays is that they are made of porcelain or composite resin, not metal, to match the natural color of your tooth. Unlike conventional composite resin fillings, onlays composites do not shrink when bonded to the tooth, with a better control of the polymerization and thus a greater adaptation at the edges and better control of occlusal and proximal tooth morphologie.